The Effect of Intraperitoneal Ozone Therapy onthe Number and Diameter of Placental Terminalis Villi in Wistar Rats Induced Preeclampsia Model with Deoxycorticosterone Acetate (DOCA)
Article Main Content
Introduction: Preeclampsia is a pregnancy complication marked by hypertension and organ dysfunction, with impaired placental development, especially terminal villi, which are major contributing factors. Intraperitoneal ozone therapy improves blood circulation and tissue oxygenation. This study examined the effect of intraperitoneal ozone therapy on the number and diameter of placental terminal villi in Wistar rats in DOCA-induced preeclampsia model.
Methods: This experimental laboratory study used a randomized posttest control only group design. Thirty-six pregnant femaleWistar rats were divided into two groups: control (no ozone therapy) and treatment (ozone injection of 1.2 mg with a 95%:5% oxygen/ozone gas mixture). On day 21 of pregnancy, the rats were sacrificed for placental collection. The number and diameter of terminal villi were examined histopathologically under a 40x microscope. Statistical analysis was performed using the Mann-Whitney test for number and T-test for diameter.
Results: The treatment group had a significantly higher number and larger diameter of terminal villi than the control group (p<0.05). Intraperitoneal ozone therapy enhances placental villi growth and differentiation.
Discussion: The increase in villus number and diameter is likely due to enhanced blood circulation and oxygen delivery, along with the stimulation of antioxidant enzymes that protect cells from oxidative stress. These effects improve placental function in preeclampsia.
Conclusion: Intraperitoneal ozone therapy significantly increased placental terminal villi in a DOCA-induced preeclampsia model, offering potential as an adjunct therapy to reduce maternal and fetal complications.
Introduction
Preeclampsia is a complex hypertensive disorder that occurs during pregnancy and is, characterized by elevated blood pressure and potential damage to organs, such as the kidneys and liver. It is a major cause of maternal and fetal morbidity and mortality, affecting 5%–7% of pregnancies globally, with higher incidence rates in developing countries [1], [2]. Pre-eclampsia is believed to be primarily driven by impaired placental development, particularly dysfunctional remodeling of spiral arteries, which leads to placental hypoxia and subsequent endothelial dysfunction [3], [4]. This pathological process affects the growth and function of placental villi, which are essential for nutrient and gas exchange between the mother and the fetus [5].
Emerging therapeutic strategies aim to improve placental function in preeclampsia, with some studies suggesting that ozone therapy could have a beneficial role. Intraperitoneal ozone therapy has been explored for its ability to improve blood circulation, reduce oxidative stress, and enhance tissue oxygenation, which could theoretically mitigate the effects of placental insufficiency in preeclampsia [6], [7]. Previous studies have demonstrated the potential of ozone to modulate the inflammatory response and vascular function, suggesting that it might be an effective adjunct to traditional therapies for preeclampsia [8].
This study aimed to investigate the impact of intraperitoneal ozone therapy on the number and diameter of placental terminal villi in a Wistar rat model of preeclampsia induced by deoxycorticosterone acetate (DOCA). Understanding the potential of ozone therapy to reverse or reduce placental damage could lead to new therapeutic avenues for managing preeclampsia and improving maternal and fetal outcomes.
Material and Methods
Study Design
This study was designed as an experimental laboratory investigation with a randomized post-test control-only group design (Fig. 1). We evaluated the effect of intraperitoneal ozone therapy on placental terminal villi in Wistar rats with a preeclampsia induced by Deoxycorticosterone Acetate (DOCA). The study protocol was approved by the Ethics Committee of the Faculty of Medicine, Universitas Udayana, in accordance with international guidelines for animal welfare.
• S = sample
• R = randomization
• K = control
• P = treatment
• Ok = control observation
• Op = treatment observation
Fig. 1. Research design scheme.
Animal Model and Sample Size
Thirty-six female Wistar rats (Rattus norvegicus), aged 10–12 weeks, were used in this study. The rats were randomly assigned to two groups: the control group (K) and the treatment group (P). In each group, 18 rats were included. The sample size was determined using G*Power software, based on preliminary data, ensuring that the study had sufficient power to detect statistically significant differences in the number and diameter of placental terminal villi between groups.
Group Allocation and Intervention
• Control Group (K): This group did not receive any ozone therapy. Rats were intraperitoneally administered standard saline solution (0.9% NaCl)
• Treatment Group (P): Rats in this group received intraperitoneal ozone therapy consisting of 1.2 mg ozone mixed with oxygen/ozone gas at a ratio of 95% oxygen and 5% ozone. The treatment was administered once a day for 7 consecutive days starting from day 14 of pregnancy.
The rats were housed under standard conditions, maintained at a controlled room temperature, 22°C–24°C, and allowed free access to food and water. The rats were sacrificed on the 21st day of pregnancy, and their placentas were collected for histopathological examination.
Induction of Preeclampsia
To create a preeclampsia rat model, the first step is to carefully select pregnant female rats that are healthy and free from pre-existing conditions that may affect the research. Once suitable rats were chosen, the experimental procedure was initiated.
The next step involved administering 0.9% saline solution to the pregnant female rats as a replacement for drinking water. This saline solution provides excess sodium load, mimicking the electrolyte imbalance observed in some human preeclampsia cases. During this period, the rats’ water intake was closely monitored to ensure that they received the appropriate amount of saline solution.
In addition to the saline solution, deoxycorticosterone acetate (DOCA) is administered to the pregnant female rats at a dose of 12.5 mg DOCA intraperitoneally in depot form before mating, followed by 6.5 mg weekly. DOCA is known to cause an assumed defect in sodium excretion, simulating the forms of preeclampsia observed in humans. The DOCA dose was determined based on previous research or established protocols to ensure consistency and comparability with other experiments. This preclinical preeclampsia animal model was adjusted according to previous studies.
Subsequently, it is essential to record the signs and symptoms associated with preeclampsia, including proteinuria (excess protein in urine) and weight changes. The accurate and consistent recording of these observations will contribute to the validity and reliability of the study.
Histopathological Examination
On day 21 of pregnancy, the rats were euthanized using an overdose of anesthetic (ketamine/xylazine), and their placentas were carefully dissected. The collected placental tissue was fixed in 10% formalin for 24 hands processed for paraffin embedding. Placental tissue sections (5 µm thick) were cut using a rotary microtome and stained with hematoxylin and eosin (H&E). The number and diameter of the placental terminal villi were assessed using a light microscope (Olympus BX53) with a 40x objective lens. Five fields per placenta were examined, and measurements were taken for both the number and diameter of the villi.
Statistical Analysis
Data are expressed as mean ± standard deviation (SD). The Mann-Whitney U test was used to compare the number of villi between the control and treatment groups, while the Independent T-test was used to compare the diameter of the villi between groups. Statistical A significance was set at p < 0.05 All statistical analyses were conducted using SPSS version 25.0 (IBM Corp., USA).
Result
Characteristics of Research Subjects
A total of 36 Wistar rats were included in the study, with 18 rats in the treatment group and 18 rats in the control group (Table I). The characteristics measured were age, initial body weight, and final body weight. The Shapiro-Wilk test confirmed normal distribution (p > 0.05), allowing the use of the independent t-test for comparisons. No significant differences were found between the two groups for any characteristics (p > 0.05).
Variables | Treatment group (n = 18) | Control group (n = 18) | p-value |
---|---|---|---|
Age (days) | 62.95 ± 1.31 | 62.45 ± 1.60 | 0.288 |
Initial body weight (grams) | 211.24 ± 1.73 | 211.85 ± 1.61 | 0.257 |
Final body weight (grams) | 227.69 ± 1.36 | 228.30 ± 1.26 | 0.152 |
There were no significant differences in age, initial body weight, or final body weight between the treatment and control groups (p > 0.05).
Histology of Terminal Villi
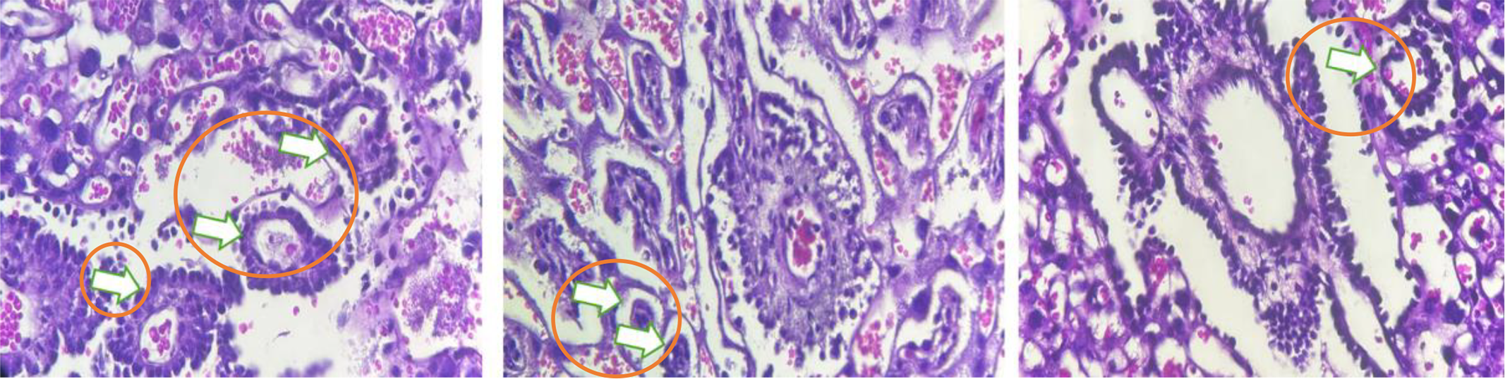
This histological image of placental terminal villi, the smallest villous structures, illustrates their role in nutrient and gas exchange between the mother and fetus. The villi appear as small, finger-like projections covered by syncytiotrophoblasts, which facilitate the diffusion of oxygen, carbon dioxide, glucose, and amino acids. (Shown by the arrow on the Fig. 2) The core contains loose connective tissue and mesenchymal cells, while blood capillaries lie close to the outer syncytiotrophoblast layer to maximize nutrient exchange. The Hematoxylin and Eosin (H&E) staining highlights cell nuclei in purple and the surrounding tissue in pink. The dense red blood cells within the capillaries are clearly visible as dark red areas.
Fig. 2. Histology of the number of terminal villi.
A large number of terminal villi indicates a metabolically active placenta, enhancing the surface area for maternal-fetal exchange. Pathological conditions such as placental insufficiency or preeclampsia may reduce villous numbers or cause fibrosis. This image shows healthy villous structures, confirming normal placental function.
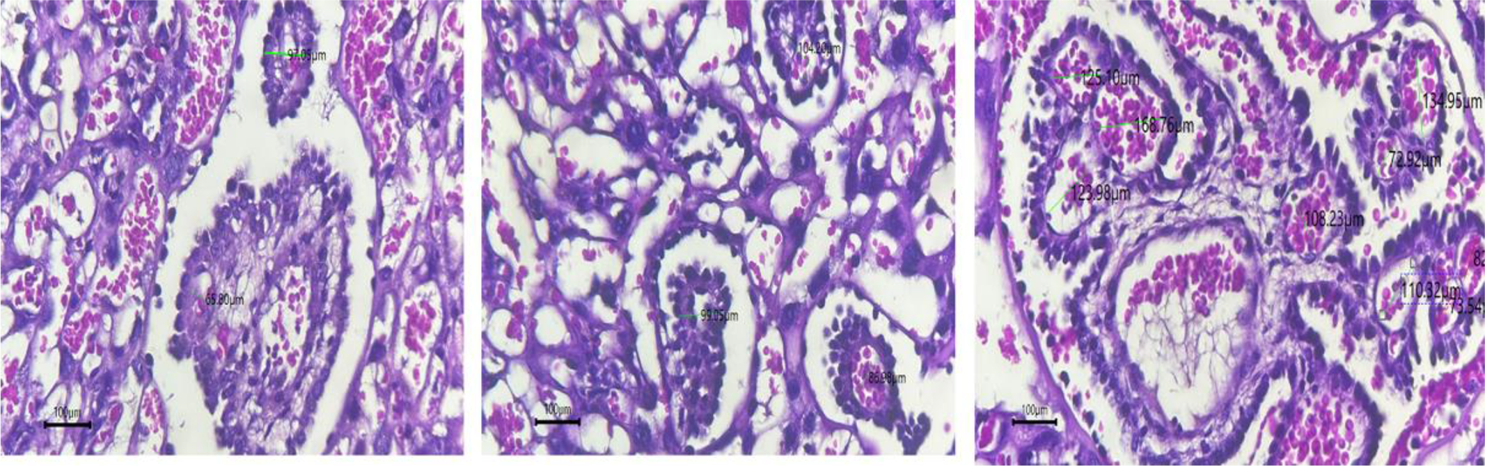
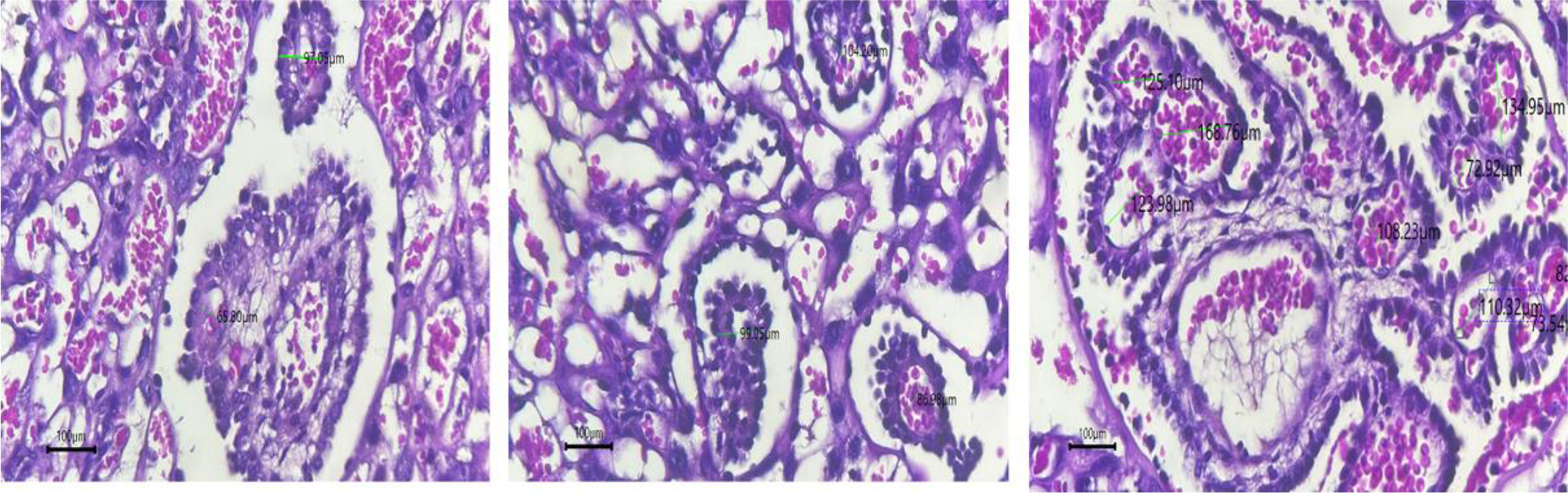
This image displays varying diameters of placental terminal villi, critical for gas and nutrient exchange. Terminal villi, resembling small fingers, consist of loose connective tissue and are covered by syncytiotrophoblasts, with visible blood capillaries enhancing exchange efficiency. Measurements of villous diameter ranged from 65.80 µm to 168.76 µm, reflecting the level of villous maturation and metabolic activity (Fig. 3).
Fig. 3. Histology of terminal villi diameter.
The larger diameters correlate with increased metabolic activity, facilitating optimal gas and nutrient transfer. The presence of prominent blood capillaries near the syncytiotrophoblast layer indicates effective circulatory activity, which is essential for supporting fetal growth. No pathological features, such as fibrosis or vascular insufficiency, were observed, suggesting normal placental function.
Number of Terminal Villi
Table II summarizes the descriptive statistics for the number of terminal villi in both the intervention and control groups. Both groups consisted of 18 rats each. The analysis includes the range, minimum, maximum, mean, and standard deviation values for the terminal villi.
Group | N | Range | Minimum | Maximum | Mean | Standard deviation |
---|---|---|---|---|---|---|
Intervention group | 18 | 14.00 | 14.00 | 28.00 | 22.22 | 3.81 |
Control group | 18 | 12.00 | 11.00 | 23.00 | 14.55 | 2.95 |
The results show that the intervention group had a mean of 22.22 with a range of 14.00, indicating a greater number of terminal villi compared to the control group (mean = 14.55). The standard deviation of the intervention group (3.81) was slightly higher than the control group (2.95), suggesting more variability, though the intervention group consistently exhibited a higher number of villi. The higher mean in the intervention group suggests that ozone therapy significantly increased the number of terminal villi compared to the control group.
Villi Diameter
Table III presents the descriptive analysis of the terminal villi diameter in both groups. Both the intervention and control groups had a sample size of 18.
Group | N | Range | Minimum | Maximum | Mean | Standard deviation |
---|---|---|---|---|---|---|
Intervention group | 18 | 34.70 | 85.91 | 120.61 | 99.80 | 8.97 |
Control group | 18 | 34.58 | 64.80 | 99.38 | 81.30 | 10.10 |
The intervention group had a mean villus diameter of 99.80 µm, with a range of 34.70 µm, indicating larger villi compared to the control group (mean = 81.30 µm). The standard deviation for the intervention group (8.97) suggests a lower variation in villi diameter, while the control group had a slightly higher standard deviation (10.10), reflecting more variation in villus size. These findings suggest that ozone therapy may significantly increase villus diameter, enhancing the placental structure for improved nutrient and gas exchange.
Data Normality and Homogeneity Test
The normality of the terminal villi count data was assessed using the Shapiro-Wilk test. The Shapiro-Wilk statistic was 0.932, with a significance value (p) of 0.029. Since p < 0.05, the data did not follow a normal distribution (Table IV). Therefore, nonparametric statistical methods, such as the Mann-Whitney test, were employed for further analysis. The histogram of terminal villi count data confirms the deviation from normality, as indicated by the Shapiro-Wilk test result (Fig. 4).
Shapiro-Wilk statistics | Number (n) | Sig. |
---|---|---|
Terminal villi | 36 | 0.029 |
Fig. 4. Histogram of the number of terminal villi.
The Levene test was performed to assess the homogeneity of variance in the terminal villi count data. With a Levene statistic of 1.93 and a significance value (p) of 0.174 (greater than 0.05), we conclude that the data variance is homogeneous. There is no significant difference in variance between the intervention and control groups (Table V).
Levene’s statistics | Number (n) | Sig. |
---|---|---|
Terminal villi | 36 | 0.174 |
The Shapiro-Wilk test for the villus diameter data showed a statistic value of 0.964, with a significance value (p) of 0.289. Since p > 0.05, the data are normally distributed (Table VI), and no deviations from normality were observed. The histogram confirms that the villus diameter data are normally distributed, as the Shapiro-Wilk test indicated (Fig. 5).
Shapiro-Wilk statistics | Number (n) | Sig. |
---|---|---|
Terminal villi | 36 | 0.289 |
Fig. 5. Histogram of terminal villi diameter.
Non-Parametric Test of Villi Count
The Mann-Whitney test was used to compare the number of terminal villi between the two groups: the group receiving ozone therapy and the group not receiving ozone. Since the data did not meet the assumptions for parametric testing (i.e., normality), a non-parametric approach was more suitable.
The analysis showed that the average number of terminal villi in the ozone-treated group was 22.89, with a standard deviation of 3.81, compared to 14.11 in the control group, with a standard deviation of 2.95. The Mann-Whitney test yielded a p-value of 0.000 (<0.05), indicating a statistically significant increase in the number of villi in the ozone-treated group. These results suggest that ozone therapy positively influences the formation of terminal villi (Table VII).
Group | Mean | Standard deviation | Sig. |
---|---|---|---|
Ozone treatment | 22.89 | 3.81 | 0.000 |
No ozone treatment | 14.11 | 2.95 |
Parametric Test of Villi Diameter
An Independent T-test was conducted to compare the villus diameter between the ozone-treated group and the control group.
The average diameter of terminal villi in the ozone-treated group was 99.81 µm with a standard deviation of 8.98, while the control group had a mean of 81.31 µm and a standard deviation of 10.10. The Independent T-test produced a p-value of 0.000 (<0.05), indicating a significant difference between the two groups (Table VIII). The results suggest that ozone exposure significantly increases the diameter of terminal villi, further supporting the positive impact of ozone therapy on placental development.
Group | Mean | Standard deviation | Sig. |
---|---|---|---|
Ozone treatment | 99.81 µm | 8.98 | 0.000 |
No ozone treatment | 81.31 µm | 10.10 |
Discussion
The results of this study demonstrate that intraperitoneal ozone therapy significantly affects both the number and diameter of terminal villi in a preeclampsia model induced by Deoxycorticosterone Acetate (DOCA). Terminal villi, the smallest villous structures in the placenta, play a crucial role in the exchange of gases and nutrients between the mother and fetus [9]. In the intervention group, which received ozone therapy, the number of terminal villi was significantly higher than in the control group, with an average of 22.89 ± 3.81 compared to 14.11 ± 2.95 in the control group (p = 0.000) [10]. This finding suggests that ozone therapy has a positive impact on the proliferation of placental villi, which can enhance placental efficiency, potentially improving maternal-fetal exchange during preeclampsia.
Additionally, ozone therapy resulted in a significant increase in the diameter of terminal villi. The intervention group exhibited an average villus diameter of 99.80 µm ± 8.97, compared to 81.30 µm ± 10.10 in the control group (p = 0.000). The increase in villus diameter is physiologically significant, as it reflects an enhanced surface area for nutrient and gas exchange, thus improving placental function. The increase in villus diameter may also indicate adaptive changes in response to hypoxic conditions commonly associated with preeclampsia [11].
These findings support the hypothesis that ozone therapy can improve placental function through anti-oxidative mechanisms, angiogenesis, and anti-inflammatory effects. Ozone interacts with unsaturated fatty acids, amino acids, and carbohydrates, producing compounds that promote cellular respiration and ATP production, crucial for placental health [8], [11]. Furthermore, ozone has been shown to stimulate the release of growth factors, such as vascular endothelial growth factor (VEGF), which is involved in angiogenesis and vascular remodeling within the placenta [12]. This stimulation of angiogenesis could explain the observed increase in villus diameter and improved blood flow, which are essential for efficient nutrient and oxygen transport to the fetus.
The positive effects of ozone therapy on villi morphology are consistent with previous studies that highlight the therapeutic potential of ozone in improving placental health in compromised pregnancies. For instance, a study by Schwartz (2018) demonstrated that ozone therapy, in combination with methyldopa, could reduce the harmful effects of hypertension in pregnancy and improve fetoplacental blood flow [13]. Similarly, Andikyan (2000) found that ozone positively influenced villus differentiation and vascularization in the placenta, further supporting our results [14].
In conclusion, intraperitoneal ozone therapy demonstrates a significant impact on both the number and diameter of terminal villi in a preeclampsia model. This suggests that ozone therapy may improve placental function through mechanisms such as increased angiogenesis and antioxidant protection. However, further studies are necessary to explore the underlying molecular mechanisms in greater depth and to assess the safety and efficacy of ozone therapy in human subjects.
Study Limitations
The diagnosis of preeclampsia in this study was based on the detection of proteinuria using a dipstick method, which is a common but non-specific marker of preeclampsia. While proteinuria is commonly associated with preeclampsia, it can also occur due to other conditions such as glomerular damage, infection, or autoimmune diseases. This limitation underscores the need for more specific biomarkers of preeclampsia, such as sFlt1, sEng, endothelin, thromboxane, prostaglandins, or nitric oxide (NO), which could provide a more accurate representation of endothelial dysfunction and preeclampsia. Future studies should incorporate these biomarkers to enhance diagnostic accuracy and to explore their relationship with therapeutic interventions like ozone therapy.
Conclusion
This study demonstrates that intraperitoneal ozone therapy significantly increases both the number and diameter of placental terminal villi in a deoxycorticosterone acetate (DOCA)–induced preeclampsia model. These findings suggest that ozone therapy may enhance placental development and improve maternal–fetal exchange through mechanisms such as increased angiogenesis, improved oxygen delivery, and antioxidant protection. By positively influencing villous morphology, intraperitoneal ozone therapy shows promise as a potential adjunct intervention for mitigating placental dysfunction associated with preeclampsia. Future research should focus on elucidating the underlying molecular pathways and evaluating the safety and efficacy of ozone therapy in human pregnancies.
Conflict of Interest
The authors declare that there are no conflicts of interest regarding the publication of this manuscript. The research was conducted without any financial or commercial influence from external sources.
References
-
Villar J, Say L, Gulmezoglu AM. Maternal morbidity and mortality from preeclampsia and eclampsia. Lancet. 2006;368(9545):129–37.
Google Scholar
1
-
Roberts JM, Cooper DW. Pathogenesis and genetics of preeclampsia. Lancet. 2001;357(9249):53–6.
Google Scholar
2
-
Powe CE, Levine RJ, Karumanchi SA. Preeclampsia and placental vascular disease: pathophysiology and implications for future disease. Hypertension. 2011;57(4):532–40.
Google Scholar
3
-
Maynard SE, Karumanchi SA. Pre-eclampsia and the placenta: a review of its pathophysiology. Placenta. 2011;32(1):3–11.
Google Scholar
4
-
Laivuori H, McElrath TF. The role of placental villi in preeclampsia. Placenta. 2014;35(2):135–41.
Google Scholar
5
-
Bocci V. The case for oxygen-ozonetherapy. Br J Biomed Sci. 2007;64(1):44–9. doi: https://doi.org/10.1080/09674845.2007.11732755. PMID: 17444419.
Google Scholar
6
-
Elvis AM, Paulraj MG. Ozone therapy in the management of pregnancy-related complications: a review. Int J Ozone Ther. 2011;10(3):100–5.
Google Scholar
7
-
Bocci V. Ozone as a biological response modifier: its mechanisms of action and its therapeutic potential. Med Gas Res. 2011;1(1):1–12.
Google Scholar
8
-
Burton GJ, Fowden AL. The placenta and developmental programming: an overview. Placenta. 2015;36(1):1–7.
Google Scholar
9
-
Erbil N, Toprak N, Açıkgöz Ö, Gelen S, Arık N. The relationship between maternal, placental and newborn parameters. Mid Blac Sea J Health Sci. 2015;1(1):11–8.
Google Scholar
10
-
Roberts JM, Escudero C. The placenta in preeclampsia. Preg Hyper: Int J Womens Cardiovasc Health. 2012 Apr 1;2(2):72–83.
Google Scholar
11
-
Boulanger L, Funderburk C. VEGF and angiogenesis in placental development. Reprod Sci. 2012;19(7):746–58.
Google Scholar
12
-
Schwartz A, Costanzi A, Rossa C. Ozone therapy in pregnancy-associated hypertension: clinical efficacy and safety. Am J Obstet Gynecol. 2018;219(2):160.e1–9.
Google Scholar
13
-
Andikyan V, Scheffler A, Dietl A. Ozone therapy in the treatment of placental insufficiency: mechanisms and effects. J Obstet Gynecol. 2000;12(5):367–72.
Google Scholar
14
Most read articles by the same author(s)
-
I Gde Sastra Winata,
Tjokorda Istri Agung Devitia Widya Paramita Putri,
Anak Agung Ayu Vidya Pradnyandari,
Diagnosis and Management of Labor Dystocia According to the Friedman Curve , European Journal of Medical and Health Sciences: Vol. 6 No. 4 (2024) -
I Gde Sastra Winata,
Ester Priskila Sabatini,
Felisa Septantriva Purnomo,
Diagnosis And Treatment of Benign Ovarian Tumors , European Journal of Medical and Health Sciences: Vol. 4 No. 2 (2022) -
Putu Doster Mahayasa,
I Gde Sastra Winata,
William Alexander Setiawan,
Iron Deficiency Anemia Treatment in Pregnancy , European Journal of Medical and Health Sciences: Vol. 4 No. 4 (2022) -
Glenn Kristie Wanaditya,
I Wayan Artana Putra,
Made Bagus Dwi Aryana,
Ryan Saktika Mulyana,
Obesity in Pregnant Women and Its Impact on Maternal and Neonatal Morbidity , European Journal of Medical and Health Sciences: Vol. 5 No. 3 (2023) -
I Gde Sastra Winata,
Putu Ari Paramitha Widiani,
Hearty Indah Oktavian,
Anak Agung Ngurah Satya Pranata,
Management of Urinary Tract Infections in Pregnancy , European Journal of Medical and Health Sciences: Vol. 4 No. 5 (2022) -
I Nyoman Hariyasa Sanjaya,
Cokorda Istri Mirayani Pemayun,
Vaginal Ozone Insufflation in Management of Vaginal Candidiasis , European Journal of Medical and Health Sciences: Vol. 5 No. 5 (2023) -
I Gde Sastra Winata,
William Alexander Setiawan,
Jonathan Adrian,
Gede Odi Bayu Dharma Perkasa,
Joanne Roxanne,
Comparison between Figo and Nichd Criteria in Assessing Fetal Heart Rate , European Journal of Medical and Health Sciences: Vol. 5 No. 3 (2023) -
Made Bagus Dwi Aryana,
I Gde Sastra Winata,
William Alexander Setiawan,
Magnesium Sulphate and Nifedipine in Management of Preterm Premature Rupture of Membranes , European Journal of Medical and Health Sciences: Vol. 4 No. 4 (2022) -
I Gde Sastra Winata,
Ni Wayan Jayanti Pradnyandari ,
Ichlazul Ma'ruf ,
Kadek Mercu Narapati Pamungkas ,
Positive Pressure Ventilation Techniques in Neonatal Resuscitation , European Journal of Medical and Health Sciences: Vol. 4 No. 5 (2022) -
I Gde Sastra Winata,
Alit Darma Asmara,
Abdominal Packing for Obstetric Surgical Uncontrollable Hemorrhage , European Journal of Medical and Health Sciences: Vol. 4 No. 4 (2022)