An Unusual Posterior Fossa Glioblastoma Diagnosed During a Follicular Lymphoma Patient’s Follow-Up: Case Report and Review of the Literature
Article Main Content
Introduction: Cerebellar glioblastoma (GBM) is a rare adult tumor. Precise diagnosis of cerebellar glioblastoma is important for establishing an appropriate therapeutic program. In adults with prior malignancy, cerebellar tumors are typically considered metastatic. The coexistence of cerebellar GBM with another primary cancer is extremely uncommon.
Case presentation: A 72-year-old man with a history of follicular lymphoma, treated decades earlier, presented with balance issues. Brain MRI revealed a left cerebellar mass compressing the fourth ventricle. Surgical resection was performed, and pathology confirmed an IDH1-wildtype cerebellar GBM. He underwent standard Stupp protocol with radiotherapy and temozolomide. Despite second-line therapy with bevacizumab, his condition deteriorated, and he died 13 months after diagnosis.
Discussion: Cerebellar GBM is aggressive and difficult to distinguish from metastasis, especially without advanced imaging. Its association with lymphoma is rare, and prior radiotherapy may be a contributing factor. The treatment remains challenging in elderly patients.
Conclusion: Cerebellar GBM has a poor prognosis. When associated with other primary cancers, diagnosis and management become more complex. Histopathology is essential, but even with optimal treatment, survival is limited.
Introduction
Glioblastoma multiforme (GBM) is the most common primary malignant brain tumor in adults. These tumors generally develop during the fifth and sixth decades of life and are typically located supratentorially [1], [2]. They are rare in the cerebellar fossa, where the reported frequency of cerebellar GBM is 0.4 to 3.4% of all GBMs. Indeed, in adult patients, any cerebellar tumor neovolume displaying radiological features of neovascularization and necrosis first suggests a secondary malignant origin, especially if a primary visceral neoplastic pathology is known (40% of malignant tumors of the FCP are metastases) [3], [4].
Although exceptional, the concomitant occurrence of a primary malignant cerebellar tumor and visceral neoplasia of another nature whose evolutions are independent has particular therapeutic implications with different oncological management. Here, we report a case of cerebellar GBM in a patient with follicular lymphoma.
Case Presentation
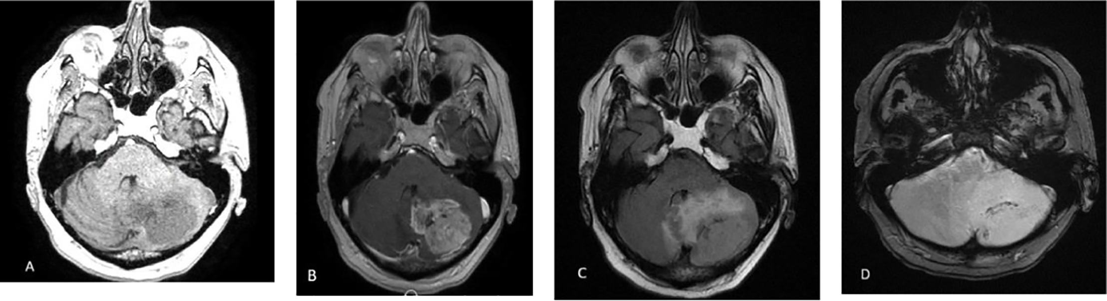
The patient was a 72-year-old man with a history of follicular lymphoma located under the left jaw, treated with surgery followed by radiotherapy. He presented with bilateral post-radiation carotid stenosis that required the placement of several stents. He was also treated with chemotherapy and immunotherapy for a large B-cell lymphoma that developed from a follicular lymphoma of the peritoneal cavity with several associated adenopathies. The patient was considered stabilized during the course, given the excellent metabolic response to the PET scan. The patient presented with balance disorders with dizziness, for which a brain MRI was performed, revealing a large left intra-axial cerebellar tumor exerting a mass effect on the 4th ventricle and the beginning of tonsillar involvement but without overlying hydrocephalus, demonstrating heterogeneous and irregular contrast enhancement (Figs. 1A and 1B) and surrounded by perilesional edema (Figs. 1C and 1D).
Fig. 1. (A) MRI axial T1 revealing a large left intra-axial cerebellar tumor exerting a mass effect on the 4th ventricle. (B) MRI Axial post-contrast T1-weighted image demonstrates heterogeneous and irregular contrast enhancement of the lesion. (C) MRI Axial FLAIR sequences show the tumor surrounded by extensive perilesional edema. (D) MRI Axial T2 sequences show the tumor surrounded by extensive perilesional edema.
The TAP scan was negative, the stability of the abdominal mass was noted, and the TEP scan was non-contributory.
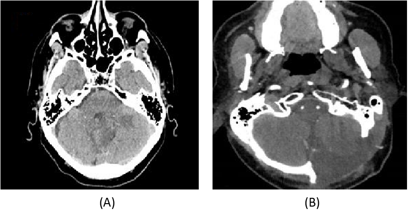
The patient underwent macroscopically complete surgical excision after craniectomy of the posterior fossa (Fig. 2B) compared with preoperative brain scan sections (Fig. 2A), and the anatomopathological examination concluded that it was an IDH1 non-mutated glioblastoma, p53 positive, ATRX positive, MGMT-positive with 1P19Q codeletion (Fig. 3).
Fig. 2. (A) CT scan axial preoperative brain scan sections. (B) CT scan axial control after craniectomy of the posterior fossa.
Fig. 3. (A) Anatomopathological exam noted IDH1 non-mutated glioblastoma, p53 positive, ATRX positive, MGMT-positive with 1P19Q codeletion. (B) Anatomopathological exam noted IDH1 non-mutated glioblastoma, p53 positive, ATRX positive, MGMT-positive with 1P19Q codeletion.
The patient received a Stupp protocol with concomitant radiotherapy and chemotherapy (Temodal plus irradiation of 59.4 Gy).
He underwent surgery and received nine cycles of temozolomide. Thirteen months after glioblastoma follow-up, he experienced a relapse of his abdominal lymphoma requiring DHAOX-type chemotherapy.
In the follow-up setting, brain MRI revealed a slight increase in the size of the fluid image of the left cerebellar surgical site exceeding the midline, with peripheral millimetric enhancement and hyperperfusion suspicious of recurrence (Fig. 4).
Fig. 4. (A) MRI Sagittal slice shows a slight increase in the size of the fluid-filled cavity, crossing the midline, with peripheral millimetric contrast enhancement and areas of hyperperfusion suggestive of tumor recurrence. (B) MRI Axial T1 with injection slices confirms the enlargement of the lesion with similar peripheral enhancement, reinforcing suspicion of recurrence. (C) Axial T1-weighted MRI slices without contrast show a hypointense fluid-filled lesion at the left cerebellar surgical site.
A second-line chemotherapy was started with AVASTIN, but the progression was fatal despite this new treatment. Survival was 13 months.
Discussion
Cerebellar glioblastoma multiforme (CGM) accounts for less than 1% of all intracranial glioblastomas. It has a poor prognosis due to its rapid local spread, particularly towards the brainstem and adjacent leptomeninges [1], [2].
The usual clinical picture is that of a classic expansive process of PCF characterized by signs of intracranial hypertension, such as headache, vomiting, visual disturbances, and signs of posterior fossa localization. Patients often report neck pain, dizziness, gait, balance, and coordination disorders in the foreground [3], [4]. Alterations in consciousness, ranging from obtundation to a comatose state, indicate the decompensation of HTIC and the development of acute hydrocephalus, which can be fatal.
In the presence of this symptomatology in an adult patient with pre-existing extracranial neoplasia, the diagnosis of cerebellar GBM may be difficult. Indeed, the metastatic origin occupies the first place in differential diagnoses on the one hand because of the argument of frequency and on the other hand because of the non-specificity of the results of morphological MRI. The median location and presence of hemorrhages and necroses with defined margins could be useful clues for the prospective diagnosis of cerebellar GBM. The performance of multimodal MRI sequences, indicating high choline levels on spectroscopy in the perilesional areas [5] and significantly high relative cerebral blood volumes in the peritumoral regions in the perfusion sequence are found in gliomas rather than in metastatic lesions [6]. Patients with cerebellar abscesses and infarctions were also excluded. In the present case, a multimodal MRI was not performed.
Differentiation of brain metastatic tumors, hemangioblastomas, primitive neuroectodermal tumors, medulloblastomas, and ependymomas is difficult when only conventional MRI results are available [5], [6].
Cases of cerebellar glioblastoma are extremely rare and have a poor prognosis, with a median survival of approximately 12 months despite advances in surgery, radiotherapy, and chemotherapy. We hope for a more favorable evolution through immunohistochemical studies, immunotherapies, targeted therapies, and vaccinations.
Small-cell glioblastoma is a rare histopathological variant of the classical glioblastoma multiforme. According to the literature, it accounts for approximately 11% of the total number of glioblastomas [3]. It is composed of small, round neoplastic cells with minimal atypicality and high cell density, exhibiting high mitotic activity and a nuclear/cytoplasmic ratio.
Follicular lymphoma is a non-Hodgkin lymphoma that histologically consists of the proliferation of B-cell lymphocytes around the follicles. It is slow-growing, often considered indolent, and has a favorable prognosis. However, transformation into more aggressive forms of lymphoma, particularly diffuse large-cell forms, is possible during the course of the disease.
The association between glioblastomas and follicular lymphoma is unusual. Li et al. described the diagnosis of fronto-callosal glioblastoma 18 years after lymphoma in a patient followed for axillary follicular lymphoma [7]. He was initially treated with a combination of radiotherapy and CHOP chemotherapy, followed by R-CHOP for the first relapse at 6 years and EZH2 inhibitors for a second relapse at 7 years. Ben Thayer et al. described a combination of glioblastoma and papillary thyroid carcinoma without radiotherapy treatment [8].
The occurrence of multiple malignant lesions of exceptional association raises the question of risk factors, particularly genetic and environmental factors. In our patient, the search for genetic syndromes was not performed. Causality of anticancer radiotherapy could also be a research avenue in these two cases associated with the occurrence of glioblastoma two–three decades after diagnosis and the initiation of treatment for follicular lymphoma. As with chemotherapy, further studies should examine the effects of EZH2 inhibitors on the development of malignant gliomas.
Immunohistochemical staining patterns can detect positivity for GFAP, a marker of astrocytic differentiation, although to a lesser extent than conventional glioblastomas. Aberrant P53 staining patterns may indicate p53 mutations, which are frequently observed in glioblastomas.
Given the highly malignant nature of high-grade glial tumors, the standard surgical treatment is to perform the widest possible or even total resection of these tumors, which is often not feasible owing to the extent of infiltration and growth.
Wide suboccipital craniectomy with or without a C1 opening is the most common surgical procedure used to treat these tumors. Radiation therapy is a well-established adjuvant treatment method [9].
Some studies recommend local irradiation of limited fields involving the posterior cranial fossa, brainstem, and upper cervical segment of the spinal cord [10].
Temozolomide chemotherapy after surgical resection has been shown to improve overall, as in our case.
The median survival time is significantly shorter in elderly patients than in younger patients [11]. According to Weber et al., the median survival is approximately 10 months [12] compared to our case, which survived for up to 13 months. Brainstem infiltration by tumors is a poor prognostic factor.
Conclusion
Given that it is a rare or exceptional entity, the pathogenesis of cerebellar glioblastoma is not yet well understood. Its association with other primary visceral lesions makes it more complex. A definitive diagnosis is established by performing a biopsy and immunohistochemical examination. Treatment consists of surgical resection, if possible, followed by radiotherapy (RT) and chemotherapy. An important prognostic factor for cerebellar glioblastoma is brainstem infiltration. Despite the radical nature of treatment, the average survival time was short.
References
- 
		                                    
			                                    Tarev I, Cekov A. Cerebellar glioblastoma: literature review and case analysis. Cureus. 2024 Feb 28;16(2):e55135. doi: 10.7759/cureus.55135. 
                                                
                                                
  DOI
 | DOI
 |Google Scholar 1
- 
		                                    
			                                    Hur H, Jung S, Jung TY, Kim IY. Cerebellar glioblastoma multiforme in an adult. J Korean Neurosurg Soc. 2008 Oct;43(4):194–7. doi: 10.3340/jkns.2008.43.4.194. 
                                                
                                                
  DOI
 | DOI
 |Google Scholar 2
- 
		                                    
			                                    El Maaqili MR, Hossini A, El Fatemi N, Gana R, Saïdi A, Jiddane M, et al. Primary glioblastoma of the cerebellum in a 19-year-old woman: a case report. JMed Case Rep. 2012;6:173. doi: 10.1186/1752-1947-6-173. 
                                                
                                                
  DOI
 | DOI
 |Google Scholar 3
- 
		                                    
			                                    Lu VM, Akinduro OO, Daniels DJ. H3K27M mutation in adult cerebellar glioblastoma. J Clin Neurosci. 2020 Mar;73:267–8. doi: 10.1016/j.jocn.2019.11.016. 
                                                
                                                
  DOI
 | DOI
 |Google Scholar 4
- 
		                                    
			                                    Kikuchi K, Hiratsuka Y, Kohno S, Ohue S, Miki H, Mochizuki T. Radiological characteristics of cerebellar glioblastoma. J Neuroradiol. 2016 Jul;43(4):260–65. doi: 10.1016/j.neurad.2015.10.006. 
                                                
                                                
  DOI
 | DOI
 |Google Scholar 5
- 
		                                    
			                                    Gopalakrishnan CV, Dhakoji A, Nair S, Menon G, Neelima R. Retrospective study of primary cerebellar glioblastoma multiforme in adults. J Clin Neurosci. 2012 Dec;19(12):1684–8. doi: 10.1016/j.jocn.2011.12.035. 
                                                
                                                
  DOI
 | DOI
 |Google Scholar 6
- 
		                                    
			                                    Li W, Wang Z, Chen S, He Y, Zhang J, Zhou Q. Glioblastoma concurrent with follicular lymphoma: a case report. Asian J Surg. 2024. doi: 10.1016/j.asjsur.2024.07.341. 
                                                
                                                
  DOI
 | DOI
 |Google Scholar 7
- 
		                                    
			                                    Ben Thayer M, Khanchel F, Helal I, Boudawara T, Chelly I, Kchir N. Incidental discovery of a Hodgkin lymphoma synchronous to a papillary thyroid carcinoma. Clin Case Rep. 2022;10(8):e6246. doi: 10.1002/ccr3.6246. 
                                                
                                                
  DOI
 | DOI
 |Google Scholar 8
- 
		                                    
			                                    Law M, Cha S, Knopp EA, Johnson G, Arnett J, Litt AW. Highgrade gliomas and solitary metastases: differentiation by perfusion and proton spectroscopic magnetic resonance imaging. Radiology. 2002 Mar;222(3):715–21. doi: 10.1148/radiol.2223010558. 
                                                
                                                
  DOI
 | DOI
 |Google Scholar 9
- 
		                                    
			                                    Kulkarni AV, Becker LE, Jay V, Armstrong DC, Drake JM. Primary cerebellar glioblastoma multiforme in children: report of four cases. J Neurosurg. 1999 Mar;90(3):546–50. doi: 10.3171/jns.1999.90.3.0546. 
                                                
                                                
  DOI
 | DOI
 |Google Scholar 10
- 
		                                    
			                                    Okada M, Miyake K, Tamiya T. Treatment of glioblastoma in the elderly. Neurol Med Chir (Tokyo). 2017;57(12):667–76. doi: 10.2176/nmc.ra.2017-0104. 
                                                
                                                
  DOI
 | DOI
 |Google Scholar 11
- 
		                                    
			                                    Weber DC, Miller RC, Villà S, Hanssens P, Baumert BG, Castadot P, et al. Outcomes and prognostic factors for adult cerebellar glioblastoma multiforme: a retrospective study from the Rare Cancer Network. Int JRadiat Oncol Biol Phys. 2006 Sep 1;66(1):179–86. doi: 10.1016/j.ijrobp.2006.04.035. 
                                                
                                                
  DOI
 | DOI
 |Google Scholar 12
Most read articles by the same author(s)
- 
													 Jihad Echnin,
													Amine  El Khamouye,
													Khadija Ibahioin,
													Abdelmajid  Chellaoui,
													Said Hilmani,
													Abdessamad Naja,
													Abdelhakim Lakhdar,
						                        
 Myelomeningocele about 100 Cases and Review of Literature , European Journal of Medical and Health Sciences: Vol. 6 No. 4 (2024)
- 
													Jihad Echnin,
													Mohamed Daghi,
													Abdelkouddous Laaidi,
													Henri Malaize,
													Aurélien Nouet,
													Alexandre Carpentier,
													Abdelhakim Lakhdar,
						                        
 Consecutive Development of Ependymoma and Glioblastoma in a Single Patient: A Case Report , European Journal of Medical and Health Sciences: Vol. 5 No. 4 (2023)
- 
													Liévin Panu,
													Salma Lahlou,
													Amine Naja,
													Ouafaa Jamal,
													Khadija Ibahioin,
													Abdelhakim Lakhdar,
													Abdessamad Naja,
						                        
 Meningiomas in Elderly Subjects: Retrospective Studies of 8 Cases and a Literature Review , European Journal of Medical and Health Sciences: Vol. 6 No. 5 (2024)
- 
													Amine El Khamouye,
													Abdelhamid Jehri,
													Jihad Echnin,
													Abdelmajid Chellaoui,
													Khadija Ibahiouin,
													Saïd Hilmani,
													Abdessamad Naja,
													Abdelhakim  Lakhdar,
						                        
 Chiari Malformation: 15 Cases and Review of the Literature , European Journal of Medical and Health Sciences: Vol. 6 No. 4 (2024)
- 
													Said Hilmani,
													Salma  Lahlou,
													Sadam Tawfik,
													Abdelhakim Lakhdar,
						                        
 Endoscopic Resection of Pilocytic Astrocytoma of the Third Ventricle: A Case Report , European Journal of Medical and Health Sciences: Vol. 5 No. 6 (2023)
- 
													Karim Baayoud,
													Ismael Abdou Mahazou,
													Salma Lahlou,
													Chaimaa Amry,
													Abdelmajid Chellaoui,
													Abdelkouddous Laaidi,
													Abdessamad Naja,
													Abdelhakim Lakhdar,
						                        
 Hemangioblastoma of the Fourth Ventricle Mimicking a Posterior Fossa Medulloblastoma in a Child , European Journal of Medical and Health Sciences: Vol. 6 No. 2 (2024)
- 
													Khadija Elguettabi,
													Pr Jamal Ouufaa,
													Ibtissame Faham,
													Amine El Khamouye,
													Nassima Dait,
													Oumaima Bouhou,
													Abdelmajid Chellaoui,
													Abdessamad Naja,
													Abdelhakim Lakhdar,
						                        
 Post-Operative Complications of Traumatic Thoracolumbar Spine Surgery: Experience of the P11 Neurosurgical Emergency Department—CHU Ibnou Rochd Casablanca (2018–2022) , European Journal of Medical and Health Sciences: Vol. 6 No. 4 (2024)
- 
													Jihad Echnin,
													Abdel Hamid Jehri,
													Nahla Zaari,
													Said Hilmani,
													Khadija Ibahioin,
													Abdessamad Naja,
													Abdelhakim Lakhdar,
						                        
 Giant Hydatic Cyst in a 2-Year-Old Infant , European Journal of Medical and Health Sciences: Vol. 5 No. 5 (2023)
- 
													Khadija Elguettabi,
													Zaari Nahla,
													Saad Hmada,
													Amine El Khamouye,
													Nassima Daite,
													Abderrazak Bertal,
													Khadija Ibahiouin,
													Said Hilmani,
													Abdessamad Naja,
													Abdelhakim Lakhdar,
						                        
 Surgical Management of a Neuroenteric Cyst at T12-L1 Levels: A Case Report and Review of Literature , European Journal of Medical and Health Sciences: Vol. 6 No. 5 (2024)
- 
													Btissam Faham,
													Zaari Nahla,
													Jamal Oufaa,
													Bouhou Oumaima,
													Said Hilmani,
													Khadija Ibahioin,
													Abdelhakim Lakhdar,
						                        
 Spinal Trauma Revealing a Metastatic Medullary Lesion: A Case Report , European Journal of Medical and Health Sciences: Vol. 6 No. 3 (2024)
 
					 
								 
  
						 
						 
						




