Spontaneous Extra-Dural Hematoma: A Rare Complication of Sickle Cell Disease
Article Main Content
Introduction: Extradural hematoma is a serious complication of moderate and severe head traumas. Spontaneous occurrence in patients with sickle cell disease (SCD) with no history of trauma is extremely rare.
Case Presentation: We report the case of a 17-year-old boy who was treated for sickle cell disease. Symptoms included a headache with facial and left palpebral oedema without vomiting or neurological deficits, which occurred during hospitalisation for a vaso-occlusive crisis.
Clinical Discussion: The diagnosis was confirmed by a brain scan, and the patient was operated on through a parietal cranial flap. The postoperative course was marked by neurological deterioration, and the follow-up CT scan showed subdural and intraparenchymal bleeding probably related to vasoocclusive crisis.
Conclusion: This case report highlights the probable pathophysiological mechanisms involved in the occurrence of spontaneous extradural hematomas in sickle cell disease patients, the importance of imaging in the presence of the slightest suspicion of cerebral damage, and the need for rapid management.
Introduction
Sickle cell anaemia is a group of autosomal recessive genetic disorders characterised by the production of haemoglobin S (HbS) [1]. It combines chronic hemolytic anaemia with ischemic lesions in various tissues. Although the brain is particularly vulnerable to ischemic lesions, which may occur during a crisis, sickle cell disease can rarely cause spontaneous extradural bleeding. We report a case of non-traumatic extradural hematoma in sickle cell disease, and we discuss the two hypotheses that may explain it: haematopoiesis and rupture of the internal table [2], [3].
Case Presentation
The patient was 17 years old and had been treated for sickle cell disease since the six years old. He was admitted to the hematology department for vaso-occlusive sickle cell crisis, dominated by intense pain in all four limbs. Clinically, the patient was conscious with a Glasgow score of 15/15 and no sensory-motor deficit, with marked facial oedema in the left palpebral area. Symptomatology worsened with helmet headaches calmed by analgesics without vomiting or seizures, stable hemodynamic state, HR at 102 bpm and BP at 11/7, and polypnoea at 34 cycles per minute.
Blood tests showed anaemia of 9 g/dl with a mean corpuscular volume of 72, hyperleukocytosis of 21570/mm3, predominantly neutrophilic at 19629/mm3, thrombocytopenia of 73,000 with a normal prothrombin rate of 81%, and fibrinogenaemia of less than 1.
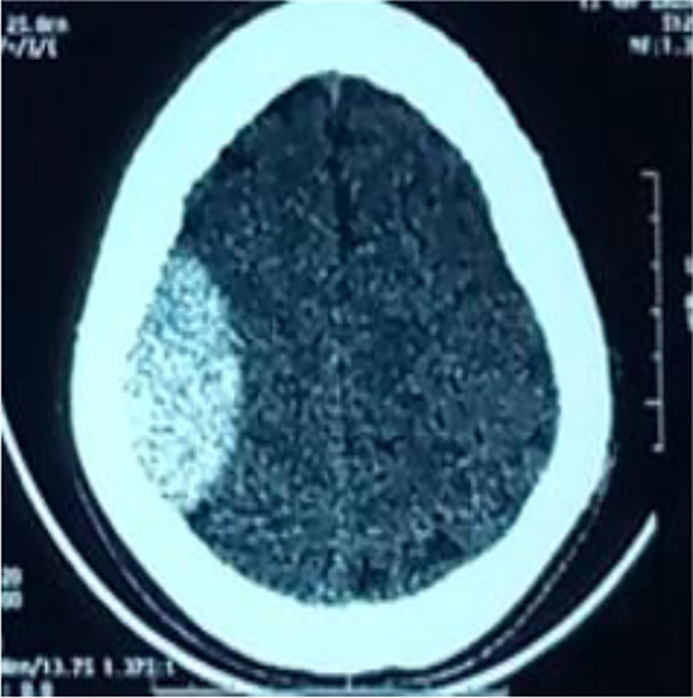
As part of the investigation into his facial oedema and headaches, a cerebral CT scan was carried out two days after his admission to the hospital, showing two extra dural haematomas on the right frontal side measuring 7.1 mm and the right parietal side measuring 27 mm, with no signs of involvement (Fig. 1) or associated bone fracture, and an abnormally thick diploid (Fig. 2).
Fig. 1. Parenchymal axial CT section showing a 27 mm right parietal extradural hematoma.
Fig. 2. Axial scans through a bone window showing thick bone with no visible fracture.
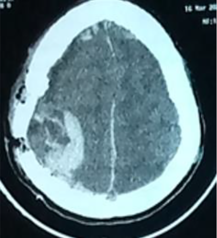
He underwent emergency surgery, and surgical evacuation of the hematoma after a right parietal flap was made. The bone was hemorrhagic, with no fractures or signs of soft tissue trauma. The patient was transfused with packed red blood cells and 5 platelet concentrates. The postoperative course was marked by neurological deterioration and the appearance of right anisocoria, prompting an emergency CT scan, which revealed an intraparenchymal hematoma associated with a 10 mm thick subdural fronto-parieto-occipital haematoma and diffuse cerebral oedema (Fig. 3), necessitating emergency surgery. The patient was transferred to the intensive care unit and died of multi-visceral failure. This work has been reported in line with the Surgical Case Report (SCARE) criteria [4].
Fig. 3. Post-operative CT scan showing an intra-parenchymal haematoma with a subdural haematoma lamina, diffuse cerebral oedema, and meningeal hemorrhage.
Discussion
Sickle cell disease (SCD) is a genetic disorder linked to hemoglobinopathy, and can lead to neurological complications in the form of ischemic strokes in 2/3 of cases. Compared to hemorrhagic strokes, these are less frequent [1], [5], [6]. Extradural haematomas are generally due to cranial trauma. The hemorrhage originates from the middle meningeal artery or one of its branches, fracture edges, torn venous sinuses, or dipliac veins [6], [7]. Spontaneous extradural hematoma remains a possible but rare complication of sickle cell disease, and was first described in 1951 by Schneider and Hegarty [7].
Various pathophysiological mechanisms have been proposed, including; either a microvascular diploid vaso-occlusive mechanism associated with occlusion of an outflowing vein [8], or an extensive hematopoiesis mechanism resulting from rapid deglobulation leading to an increase in the thickness of the diploid (in the case of our patient) and rupture of the internal tables of the cranial bone, which will cause bleeding [3], [7].
The classic clinical symptomatology of extradural hematoma in cranioencephalic trauma, with an initial loss of consciousness and a free interval, is dominated by headaches that may be masked by analgesics, delaying the diagnosis [3], [7], [8] as in our case. Facial oedema was described in our case as the reason for requesting imaging, which was an essential examination of certainty for all authors [5], [8], [9].
Other signs are described, such as disorders of consciousness with deterioration of the Glasgow score to coma, and hemiparesis of the contralateral side [3], [6]. Symptomatology occurs in patients in the midst of a vaso-occlusive crisis, as in the present case [8], [9].
Emergency neurosurgical management remains the option of all authors, whether for spontaneous or post-traumatic HED, except in cases of small hematomas with reduced thickness or small volume requiring only close clinical and radiological monitoring [3], [8].
The postoperative course is generally good except in cases of delayed diagnosis or management [3], [9] or hemorrhagic or infectious complications, as in our case.
Conclusion
Although exceptional, the occurrence of extradural hematoma in sickle cell disease remains a possibility and is often not mentioned as a complication of this hemoglobinopathy. Any neurological deterioration or headache in a patient with sickle cell disease should be considered an emergency, prompting the patient to undergo emergency neurosurgery, whether or not in the midst of a vaso-occlusive crisis, with emergency brain imaging as the only definitive test. Prompt treatment is a major advantage, as it improves the vital function.
References
- 
		                                    
			                                    Piel FB, Steinberg MH, Rees DC. Sickle cell disease. N Engl J Med [Internet]. 2017 Apr 20 [cited 2022 Jul 29];376(16):1561–73. Available from: http://www.nejm.org/doi/10.1056/NEJMra1510865. 
                                                
                                                
  DOI
 | DOI
 |Google Scholar 1
- 
		                                    
			                                    Tomboravo C, Andrianarimanitra HU, Alison OAR, Ahmad A. Extradural haematoma: a rare complication of sickle cell disease. Sang Thromb Vaisseaux. 2019;31(1):29–31. 
                                                
                                                
 Google Scholar 2
- 
		                                    
			                                    Léon B, Didace MM, Sinclair KB, Brice NO, Brieux EMH. Spontaneous epidural haematoma in children: a rare complication of sickle cell disease. Health Sci Dis. 2018;19(4):1018. 
                                                
                                                
 Google Scholar 3
- 
		                                    
			                                    Sohrabi C, Mathew G, Maria N, Kerwan A, Franchi T, Agha RA. La ligne directrice SCARE 2023: mise à jour des lignes directrices consensuelles du Surgical Case Report (SCARE). Int J Surg. 2023;109(5):1136. 
                                                
                                                
  DOI
 | DOI
 |Google Scholar 4
- 
		                                    
			                                    Mattioni S, Stojanovic KS, Girot R, Lionnet F. Sickle cell disease in France. Rev Francoph Lab [Internet]. 2016 Apr [cited 29 Jul 2022];2016(481):61–6. Available from: https://linkinghub.elsevier.com/retrieve/pii/S1773035X16301290. 
                                                
                                                
  DOI
 | DOI
 |Google Scholar 5
- 
		                                    
			                                    Serarslan Y, Aras M, Alta¸s M, Kaya H, Urfalı B. Non-traumatic spontaneous acute epidural hematoma in a patient with sickle cell disease. Neurocirugía [Internet]. 2014 May [cited 29 Jul 2022];25(3):128–31. Available from: https://linkinghub.elsevier.com/ retrieve/pii/S1130147313001310. 
                                                
                                                
  DOI
 | DOI
 |Google Scholar 6
- 
		                                    
			                                    Mishra S, Senapati S, Gouda A, Behera S, Patnaik A. Spontaneous extradural and subgaleal hematoma: a rare neurosurgical crisis of sickle cell disease. Asian J Neurosurg [Internet]. 2017 [cited 29 Jul 2022];12(1):47. Available from: http://www.asianjns.org/text.asp?2017/12/1/47/144177. 
                                                
                                                
  DOI
 | DOI
 |Google Scholar 7
- 
		                                    
			                                    N’dri Oka D, Tokpa A, Bah A, Derou L. Spontaneous intracranial extradural hematoma in sickle cell disease. J Neurol Surg Rep [Internet]. 2015 Feb 25 [cited 2022 Jul 29];76(1):e97–9. Available from: http://www.thieme-connect.de/DOI/DOI?10.1055/s-0035-1544953. 
                                                
                                                
  DOI
 | DOI
 |Google Scholar 8
- 
		                                    
			                                    Hettige S, Sofela A, Bassi S, Chandler C. A review of spontaneous intracranial extradural hematoma in sickle-cell disease. Acta Neurochir (Wien) [Internet]. 2015 Nov [cited 2022 Jul 29]; 157(11):2025–9. Available from: http://link.springer.com/10.1007/s00701-015-2582-6. 
                                                
                                                
  DOI
 | DOI
 |Google Scholar 9
Most read articles by the same author(s)
- 
													 Jihad Echnin,
													Amine  El Khamouye,
													Khadija Ibahioin,
													Abdelmajid  Chellaoui,
													Said Hilmani,
													Abdessamad Naja,
													Abdelhakim Lakhdar,
						                        
 Myelomeningocele about 100 Cases and Review of Literature , European Journal of Medical and Health Sciences: Vol. 6 No. 4 (2024)
- 
													Jihad Echnin,
													Mohamed Daghi,
													Abdelkouddous Laaidi,
													Henri Malaize,
													Aurélien Nouet,
													Alexandre Carpentier,
													Abdelhakim Lakhdar,
						                        
 Consecutive Development of Ependymoma and Glioblastoma in a Single Patient: A Case Report , European Journal of Medical and Health Sciences: Vol. 5 No. 4 (2023)
- 
													Liévin Panu,
													Salma Lahlou,
													Amine Naja,
													Ouafaa Jamal,
													Khadija Ibahioin,
													Abdelhakim Lakhdar,
													Abdessamad Naja,
						                        
 Meningiomas in Elderly Subjects: Retrospective Studies of 8 Cases and a Literature Review , European Journal of Medical and Health Sciences: Vol. 6 No. 5 (2024)
- 
													Amine El Khamouye,
													Abdelhamid Jehri,
													Jihad Echnin,
													Abdelmajid Chellaoui,
													Khadija Ibahiouin,
													Saïd Hilmani,
													Abdessamad Naja,
													Abdelhakim  Lakhdar,
						                        
 Chiari Malformation: 15 Cases and Review of the Literature , European Journal of Medical and Health Sciences: Vol. 6 No. 4 (2024)
- 
													Said Hilmani,
													Salma  Lahlou,
													Sadam Tawfik,
													Abdelhakim Lakhdar,
						                        
 Endoscopic Resection of Pilocytic Astrocytoma of the Third Ventricle: A Case Report , European Journal of Medical and Health Sciences: Vol. 5 No. 6 (2023)
- 
													Karim Baayoud,
													Ismael Abdou Mahazou,
													Salma Lahlou,
													Chaimaa Amry,
													Abdelmajid Chellaoui,
													Abdelkouddous Laaidi,
													Abdessamad Naja,
													Abdelhakim Lakhdar,
						                        
 Hemangioblastoma of the Fourth Ventricle Mimicking a Posterior Fossa Medulloblastoma in a Child , European Journal of Medical and Health Sciences: Vol. 6 No. 2 (2024)
- 
													Panu Liévin,
													Salma Lahlou,
													Abdelmajid Chellaoui,
													Khadija Ibahioin,
													Abdessamad Naja,
													Abdelkrim Lakhdar,
						                        
 Tumors of the Skull Vault in Three Cases and a Systematic Review of the Literature , European Journal of Medical and Health Sciences: Vol. 6 No. 6 (2024)
- 
													Khadija Elguettabi,
													Pr Jamal Ouufaa,
													Ibtissame Faham,
													Amine El Khamouye,
													Nassima Dait,
													Oumaima Bouhou,
													Abdelmajid Chellaoui,
													Abdessamad Naja,
													Abdelhakim Lakhdar,
						                        
 Post-Operative Complications of Traumatic Thoracolumbar Spine Surgery: Experience of the P11 Neurosurgical Emergency Department—CHU Ibnou Rochd Casablanca (2018–2022) , European Journal of Medical and Health Sciences: Vol. 6 No. 4 (2024)
- 
													Jihad Echnin,
													Abdel Hamid Jehri,
													Nahla Zaari,
													Said Hilmani,
													Khadija Ibahioin,
													Abdessamad Naja,
													Abdelhakim Lakhdar,
						                        
 Giant Hydatic Cyst in a 2-Year-Old Infant , European Journal of Medical and Health Sciences: Vol. 5 No. 5 (2023)
- 
													Khadija Elguettabi,
													Zaari Nahla,
													Saad Hmada,
													Amine El Khamouye,
													Nassima Daite,
													Abderrazak Bertal,
													Khadija Ibahiouin,
													Said Hilmani,
													Abdessamad Naja,
													Abdelhakim Lakhdar,
						                        
 Surgical Management of a Neuroenteric Cyst at T12-L1 Levels: A Case Report and Review of Literature , European Journal of Medical and Health Sciences: Vol. 6 No. 5 (2024)
 
					 
								 
  
						 
						 
						




